This is a healthcare professional site

The information contained in the site is intended for India healthcare professionals only. By selecting “Okay” below, you verify that you are a licensed India healthcare professional.

Close-up of a microscope with an abstract overlay of white circles in a lab setting

Interpreting stains

Studies have evaluated both membranous staining and percentage of tumor cells stained for CLDN18.2 expression.1,2


Based on 2 studies: one study comparing claudin 18.2 expression in primary tumors and lymph node metastases in Japanese patients with gastric adenocarcinoma and one study investigating the immunohistochemical (IHC) profile of claudin 18 in a series of gastric and GEJ adenocarcinomas.1,2

In G/GEJ tumors, CLDN18.2 status is determined by the percentage of tumor cells stained with moderate-to-strong membranous stain intensity.1

  • Tissue slides with tumor cells present can demonstrate varying levels of CLDN18 membranous staining intensity, ranging from no staining to strong staining (0 to 3+)
  • Two recently published phase III studies defined CLDN18.2 positivity as ≥75% of tumor cells demonstrating moderate-to-strong membranous staining3,4
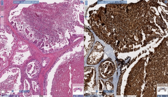
  • Account for tumor necrosis during interpretation

 

Matched H&E and IHC stain of gastric tumor necrosis (10x magnification)

Matched H&E and IHC stain of gastric tumor necrosis (10x magnification)

Screen grab of Dr. Kristina Matkowskyj video "How to Report CLDN18.2"
play-icon

stain-interpretation

stain-interpretation

closeicon
volumeicon

stain-interpretation

closeicon

stain-interpretation

How to Interpret CLDN18.2

Josef H. Rüschoff, MD

Click to view stain gallery and quiz

Grey circles on light background

When reporting CLDN18.2 results, both staining intensity and percentage of tumor cells stained should be included.1

References: 1. Pellino A, Brignola S, Riello E, et al. Association of CLDN18 protein expression with clinicopathological features and prognosis in advanced gastric and gastroesophageal junction adenocarcinomas. J Pers Med (Epub) 10-26-2021. 2. Rohde C, Yamaguchi R, Mukhina S, et al. Comparison of Claudin 18.2 expression in primary tumors and lymph node metastases in Japanese patients with gastric adenocarcinoma. Jpn J Clin Oncol 2019;49(9):870-6. 3. Shitara K, Lordick F, Bang YJ, et al. Lancet 2023;401(10389):1655-68. Errata in: Lancet 2023;402(10398):290; Lancet 2024;403(10421):30. 4. Shah MA, Shitara K, Ajani JA, et al. Nat Med 2023;29(8):2133-41.